
由宾夕法尼亚大学(University of Pennsylvania)领导的研究团队,近期在《科学进展》(Science Advances)期刊发布成果,揭示了肼屈嗪(hydralazine)这种已有超过70年历史的降血压药物的分子作用机制。该研究不仅解开了长期以来的作用谜团,还意外发现肼屈嗪对攻击性脑肿瘤具有抑制效果。肼屈嗪目前作为妊娠高血压的常用治疗药物,在降低孕妇及胎儿风险方面发挥重要作用。
研究表明,肼屈嗪通过抑制一种称为2-氨基乙硫醇双加氧酶(ADO)的氧感应酶发挥作用。ADO在低氧条件下会诱发血管收缩信号,而肼屈嗪与其结合后,阻断ADO活性,进而降低血管平滑肌细胞内钙离子浓度,促进血管扩张与血压下降。宾夕法尼亚大学医学科学家Kyosuke Shishikura表示,该发现不仅深化了对妊娠高血压治疗机制的理解,也为脑癌等难治肿瘤提供全新治疗思路。

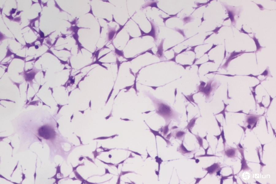
研究人员使用肼屈嗪处理人类胶质母细胞瘤脑肿瘤细胞三天。在第三天时(上图),更多细胞变得肿大且扁平化──这是细胞衰老的标志性特征,即停止分裂的“休眠模式”,能够阻止肿瘤生长。(Source:宾夕法尼亚大学)
特别是ADO渠道在脑肿瘤细胞适应低氧环境生存上扮演关键角色。肼屈嗪可促使肿瘤细胞进入类似休眠的未分裂状态,有望暂停其不受控制的增长。研究团队计划进一步开发具组织专一性的ADO抑制剂,增强药效并降低对其他正常组织的影响,为脑肿瘤治疗带来革命性突破。
(首图为示意图,来源:shutterstock)











